50대 여성, 팔 통증을 근육통으로 오인
50대 여성이 팔의 통증을 단순한 근육통으로 여기고 방치하다가, 며칠 만에 6cm까지 커진 혹으로 인해 희귀 암 진단을 받은 안타까운 사연이 전해졌습니다. 영국 매체의 보도에 따르면, 로라 아이솜(58세)은 팔에 나타난 작은 덩어리와 왼손의 기능 저하를 나이 탓으로 돌리며 가볍게 넘겼습니다. 하지만 혹이 빠르게 커지면서 정형외과 전문의의 검사를 받게 되었고, 결국 지방육종이라는 희귀 암 진단을 받았습니다.

지방육종, 드물지만 위험한 암
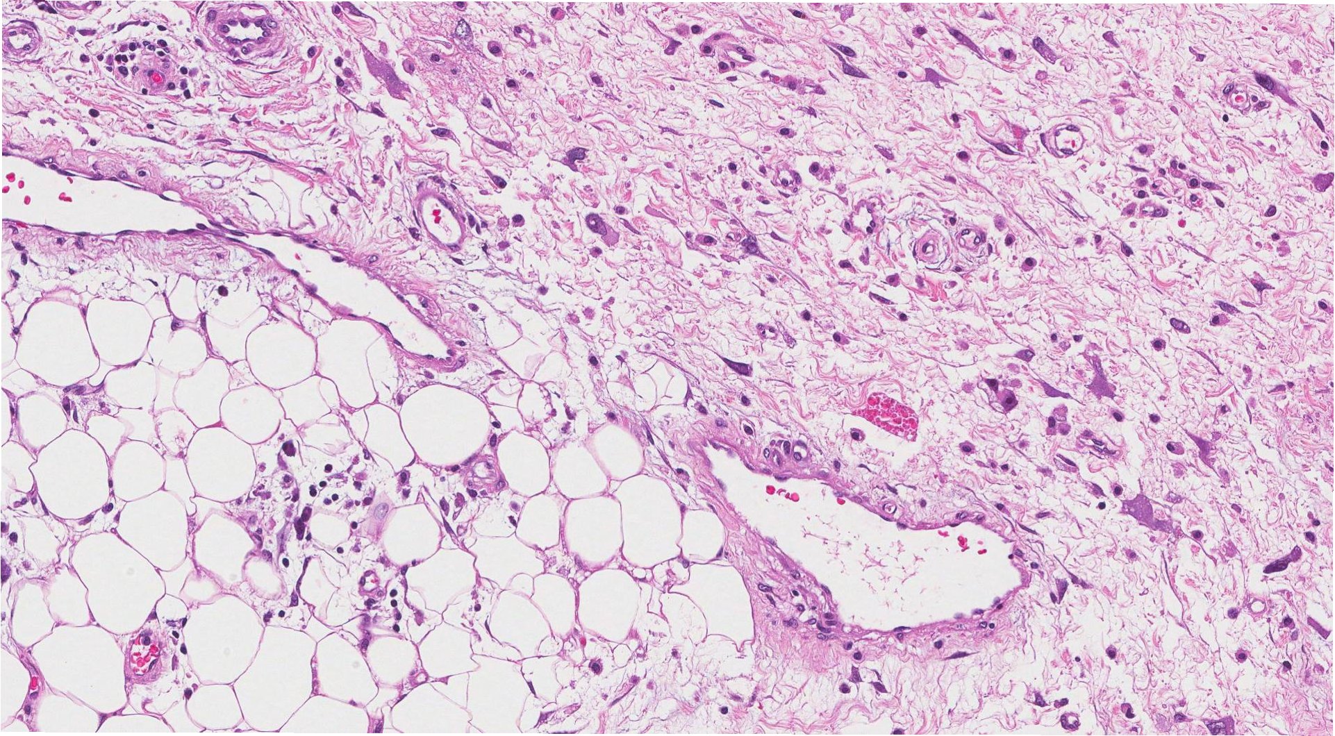
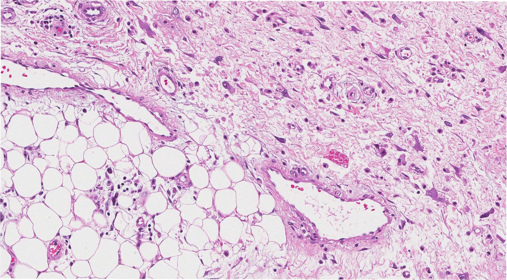
지방육종은 지방세포에서 발생하는 악성 종양으로, 전체 암의 1% 미만을 차지할 정도로 매우 드문 암입니다. 이 암은 신경과 근육 사이로 깊숙이 파고들어, 발견 시 이미 상당히 진행된 경우가 많습니다. 로라의 경우, 방사선 치료를 통해 종양 크기를 줄인 후 7시간에 걸친 절제 수술을 받았습니다. 수술 후 신경 손상으로 인해 미세한 손동작에 어려움을 겪고 있지만, 직장에 복귀하여 적응형 장비를 사용하며 업무를 이어가고 있습니다. 초기 검사에서 폐에 작은 결절이 발견되어 전이가 의심되었으나, 추가 검사 결과 과거 감염 흔적으로 밝혀졌습니다.

근육통으로 오해하기 쉬운 지방육종
지방육종은 통증이 거의 없고 근육통이나 염좌와 비슷한 증상을 보여, 진단이 늦어지는 경우가 많습니다. 특히 팔다리의 근육 깊숙한 곳에서 시작되어 초기에는 통증이 거의 없어, 단순 근육통이나 노화로 오해하기 쉽습니다. 하지만 종양이 커지면서 신경과 근육을 압박하여 움직임 저하, 감각 이상, 손 기능 저하 등의 신경 증상을 유발할 수 있습니다. 미국 및 영국 가이드라인에서는 4cm 이상이거나 4주 이상 지속되는 깊은 혹에 대해 반드시 전문의 진료를 받을 것을 권고하고 있습니다.

지방육종의 진단과 치료
지방육종의 진단에는 MRI와 조직 생검이 필수적입니다. 지방종과 유사하게 보이더라도 내부 구조가 불규칙하거나 성장 속도가 빠르다면 지방육종을 의심해야 합니다. 치료의 핵심은 광범위 절제술이며, 절제연이 깨끗해야 재발 위험을 낮출 수 있습니다. 종양이 크거나 신경 및 혈관을 침범한 경우에는 방사선 치료를 병행하여 종양 크기를 줄인 후 수술을 진행합니다. 폐 전이 여부를 확인하기 위해 정기적인 흉부 검사가 필요합니다.

지방육종의 예후와 최신 치료 동향
지방육종의 국내 5년 생존율은 약 60%대로, 종양의 크기, 병기, 절제 범위에 따라 예후가 크게 달라집니다. 최근에는 면역 치료 및 표적 치료에 대한 연구가 활발하게 진행되고 있으며, 지방육종의 유전적 아형에 따른 정밀 치료 가능성을 모색하는 시도가 이어지고 있습니다. 이러한 연구들을 통해 지방육종 환자들의 생존율을 높이고 삶의 질을 개선하려는 노력이 계속되고 있습니다.

경고 신호 놓치지 마세요
지방육종은 희귀하지만, 우리 몸은 분명한 신호를 보냅니다. 빠르게 커지는 혹, 근육통과 함께 나타나는 기능 저하, 설명되지 않는 단단한 종물은 단순한 근육통이나 노화로 치부하기 어려운 경고 신호입니다. 조기 진단이 예후를 결정하는 만큼, 의심되는 변화가 있다면 즉시 전문의의 평가를 받는 것이 중요합니다.

팔 통증, 늦기 전에 확인하세요
팔 통증을 가볍게 여겼다가 희귀 암 진단을 받은 사례를 통해, 우리 몸의 변화에 주의를 기울여야 함을 강조합니다. 특히, 빠르게 커지는 혹이나 설명되지 않는 통증은 단순한 증상으로 치부하기 어렵습니다. 조기 진단과 적절한 치료만이 건강한 삶을 지키는 길임을 잊지 말아야 합니다.

자주 묻는 질문
Q.지방육종은 어떤 암인가요?
A.지방육종은 지방세포에서 발생하는 희귀 암으로, 전체 암의 1% 미만을 차지합니다. 근육통이나 염좌와 비슷한 증상을 보여 진단이 늦어지는 경우가 많습니다.
Q.지방육종의 주요 증상은 무엇인가요?
A.가장 중요한 증상은 짧은 기간에 빠르게 커지는 단단한 혹입니다. 근육통, 움직임 저하, 감각 이상, 손 기능 저하 등의 신경 증상도 나타날 수 있습니다.
Q.지방육종은 어떻게 진단하나요?
A.MRI와 조직 생검을 통해 진단합니다. 종양의 크기, 내부 구조, 성장 속도 등을 종합적으로 평가하여 지방육종 여부를 판단합니다.

'이슈' 카테고리의 다른 글
| 스페인 '조기 출근' 여성 해고 사건, 법원은 회사의 손을 들어준 이유는? (0) | 2025.12.11 |
|---|---|
| 전재수 장관, '통일교 의혹'에 장관직 내려놓고 정면 돌파 선언: 진실은 무엇인가? (0) | 2025.12.11 |
| 대방건설, 1조 원 계열사 지원 논란: '딸·며느리 회사' 집중 지원 배경은? (0) | 2025.12.11 |
| 국립김대중대학교: 목포대와 순천대 통합, 미래 교육의 새로운 이정표를 제시하다 (0) | 2025.12.11 |
| 인천공항, 로봇 서비스 확대로 여행의 품격을 높이다: 주차부터 짐 배송, 순찰까지! (0) | 2025.12.11 |